入れ歯症例④、港区の審美歯科・矯正歯科なら青山一丁目から徒歩6分のフォーラムデンタルクリニックへ
赤坂で審美歯科やアンチエイジングなら専門の赤坂フォーラムデンタルへ
HOME
> 入れ歯症例④
入れ歯症例④
入れ歯症例④
治療前
入れ歯装着前
インプラントマグネット
装着する入れ歯
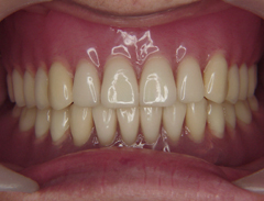
入れ歯装着後
HOME
医院紹介
院長紹介
入れ歯とインプラントの選択
満足できる入れ歯
入れ歯の種類
満足できる入れ歯作りの流れ
入れ歯の症例
インプラントの手術法の種類
インプラント入れ歯
インプラントの流れ(2回法)
インプラントの症例
費用
リンク
新着情報
一覧を見る
2010/09/29
サイトをリニューアル致しました!!
2010/10/04
10月の入れ歯キャンペーン